
Isu vape nampaknya semakin menjadi topik perbualan di Malaysia apabila seorang remaja di Labuan dilaporkan dimasukkan ke hospital dan menerima rawatan untuk kerosakan bahagian dalaman paru-paru, disyaki akibat menghisap vape.

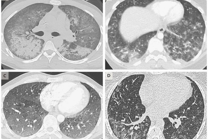
Penyakit kecederaan paru-paru akibat rokok elektronik dan produk vape (EVALI) ialah terma baharu dunia perubatan yang kini tular secara global. Di Amerika Syarikat sudah terdapat 39 kes kematian akibat EVALI dan ribuan pula terpaksa dirawat di hospital.
Punca Penyakit Misteri Ini
Pakar kesihatan dari Pusat Kawalan Penyakit (CDC) Amerika Syarikat telah pun menemui penyebab penyakit misteri itu. Menurut CDC, asetat vitamin E yang digunakan untuk mencairkan cecair vape mungkin antara puncanya. Ia dibuktikan apabila asetat vitamin E ditemui pada 29 sampel ujian tisu paru-paru pengidap kerosakan paru-paru akibat vape dan produk vape (EVALI).

Kesan Buruk Pada Paru-Paru
Dalam sampel yang sama THC (ganja) ditemui pada 82% sampel dan nikotin pula pada 61%. Ini mungkin bukti paling kukuh bahawa asetat vitamin E memberikan kesan buruk pada paru-paru penghisap vape.
Selain itu, asetat vitamin E biasanya hanya digunakan pada cecair vape yang mengandungi THC dan kebanyakan cecair tersebut tidak dijual secara komersial. Tetapi ia tidak menolak kemungkinan bahan tersebut mungin turut digunakan pada cecair vape lain di pasaran.
So pakar dah buktikan ni korang masih nak bahayakan diri ke?
So tepuk dada tanya la selera.
Sumber : CDC
Ini baru lah gaya hidup remaja.
REMAJA kini di
Download sekarang!
“Mak Ustazah, Bapa Ustaz Tapi Orang Panggil Saya Syaitan…” Saya Nak Berubah Ustaz!

Perkongsian dari Ustaz Ebit Lew tentang masalah anak remaja sememangnya wajar dibuat iktibar. Senakal mana pun seorang anak andai dididik dengan kasih sayang, sudah pasti mereka akan berubah menjadi seorang anak yang baik.
Luahan hati anak-anak remaja ini adalah “rencam dunia” yang sedang melanda dan amat wajar bagi ibu bapa menyelidiki anak-anak agar bersama-sama dapat menuju ke syurga Allah.
Baca perkongsian yang ditulis di laman fbnya..
Sebak tiba-tiba masa lepak-lepak berbual dengan beberapa anak muda remaja ini. Seorang anak 17 tahun mencelah.
Ustaz, saya sebaklah bila ustaz cakap macam ini…air mata dia bergenang. Rambutnya ada warna merah sikit. Saya selalu lawan mak ayah. Saya marah mak ayah sampai baling barang,pecahkan pintu. Pecahkan barang. Saya sedihlah ustaz. Saya dah tak nak jadi macam tu. Ya Allah saya salah…doakan saya ustaz…
Saya terus mengalir air mata. Saya peluk dia kuat-kuat. Rasa sayang padanya. Dia peluk saya menangis..janji dengan saya. Jaga mak ayah dengan baik. Yer ustaz..saya akan jaga mak ayah saya dengan baik..

Kawan sebelah pula mencelah. Saya selalu tipu mak ayah saya. Dia orang dah bawa saya pergi umrah. Dekat sana rasa suka solat. Sekarang saya tipu mak ayah. Saya berdiri buat-buat solat. Tapi selalunya saya tak solat. Saya dah 16 tahun ustaz. Apa nak jadi dengan saya…tolong saya ustaz. Saya nak jaga solat..
Saya bangun peluk anak muda tadi. Apa amanah ustaz pada awak…jaga solat wahai anak. Allah akan jaga awak..dia menagis..dia kata baik ustaz saya akan jaga solat kerana ALLAH..
Seorang lagi anak muda walau dari mula dia melunjur kaki pada saya. Buat-buat tunduk macam tidur. Dia menangis peluk saya. Saya selalu balik tengah malam. Saya selalu susahkan mak saya. Ya Allah. Saya tahan air mata saya. Saya dah tak boleh tahan dah..saya tak solat ustaz. Jarang solat. Semalam tinggal semua solat. Selalu macam tu..
Saya sebak..dan peluk dia. Lagi kuat anak muda ini menangis..rambutnya warna perang juga..terima kaseh ustaz..

Saya gembira sangat. Seorang lagi menangis. Mak saya ustazah. Orang baik. Ayah ustaz. Orang baik. Orang panggil saya syaitan. Saya jahat ustaz. Semua ilmu saya tahu. Semua kem saya pergi.
Hari ini saya betul-betul nak berubah. Saya rasa sesuatu ustaz. Dia menangis. Saya tak guna langsung ustaz. Hidup saya tak berguna. Beberapa anak muda ini cakap mereka tak guna langsung. Saya peluk mereka kuat-kuat.
Saya kata awak berguna. Awak khalifah Allah. Allah pilih awak Islam. Allah tak salah. Awak semua hasil doa Nabi saw. Awak hebat. Saya jelaous dengan awk semua..
Mereka berpelukan dengan saya. Mereka menangis. Walau cuma berbual santai di bawah khemah. Takde mic. Takde dewan. Selepas malam mereka dan saya jadi seperti keluarga.
Dari siang mereka dengar ceramah duduk belakang jer. Sambil-sambil tak dengar. Tapi bila rapati mereka. Subhanallah luar biasa hati yang sangat cantik indah-
Ini baru lah gaya hidup remaja.
REMAJA kini di
Download sekarang!
Berat Badan Naik Secara Drastik, Imej Terbaru Park Bom Cetus Kebimbangan Peminat

Park Bom yang merupakan bekas main vocalist kumpulan kpop terkenal 2NE1 dan kini penyanyi solo; baru-baru ini telah menarik perhatian peminat.
Penyanyi solo itu telah menghadiri konsert “2022 Popstival” di bandar Manila pada hari Jumaat, 21 Oktober 2022 yang lalu. Dia turut mempersembahkan beberapa siri lagu hitnya termasuk “Fire”, “Spring” dan “You and I”.
Namun, usai satu video yang telah tular dirakam oleh peminatnya melalui Tiktok, dia telah menerima pelbagai reaksi mengenai penampilannya, terutama berat badannya yang naik secara drastik.
@kianlachica hellow pi my queen bom huhuhu i love you forever🫶🏻🫶🏻🫶🏻 #2ne1 #parkbom #fyp #fypシ #popstival2022 ♬ You and I (Park Bom) – 2NE1
Seperti yang korang lihat dalam klip TikTok di atas, bintang berusia 38 tahun itu dilihat memakai gaun hitam dengan aksesori rantai manik minimum yang melengkapkan penampilannya. Peminat teruja melihat Park Bom membuat persembahan secara langsung di atas pentas. Namun, ramai yang merasa bimbang tentang kesihatannya.
Menerusi tangkap layar di ruangan komen TikTok tersebut, ramai peminat berasa terkejut kerana berat badannya naik secara drastik berbanding penampilannya tahun lepas.

Terdapat juga peminat lain yang turut meminta netizen agar berhenti bertanya mengenai penampilan penyanyi itu dan seharusnya menyokongnya.


Terdahulu pada Januari 2021, bekas ahli 2NE1 itu mengumumkan bahawa dia telah kehilangan 11kg daripada 70kg selepas melakukan diet Juvis yang terkenal.

BACA LAGI: Unnie! Sandara Park Teruja Bersama 2NE1 Hingga Kasut Tercampak Di Coachella
Park Bom didiagnosis dengan Attention Deficit Disorder (ADD)?

Bekas wartawan hiburan dan kini YouTuber Lee Jin-ho, menjelaskan isu tersebut dalam sebuah hantaran di halaman YouTubenya pada 24 Oktober yang lalu. Dia berkata bahawa Park Bom telah didiagnosis dengan Attention Deficit Disorder (ADD) yang menyebabkan penyanyi tersebut tidak dapat mengawal tabiat pemakanannya.
YouTuber itu juga berkata,
“Saya telah bertanya secara langsung kepada YG Entertainment, dan mereka juga mengakui sukar untuk mengawal Park Bom. Lebih-lebih lagi apabila tertekan, Bom akan makan apa sahaja yang diingini dan disebabkan itu dia sukar untuk menjaga berat badan. Bukan hanya berat badan, Park Bom juga seorang yang tidak kisah akan fesyen yang digayakan oleh nya.”
Lee Jin-ho turut meluahkan kebimbangan dan menjelaskan, “Berat badan Park Bom telah mendadak naik selepas kemunculan nya pada Julai dan Ogos yang lalu. Ramai yang risau akan keadaan beliau yang mungkin menghadapi masalah yang mencetuskan rasa stress buat dirinya.”
Agensi menafikan dakwaan masalah kesihatan
Untuk menghentikan sebarang spekulasi daripada peminat, baru-baru ini agensi Park Bom iaitu D-Nation telah memberi respons bahawa penyanyi tersebut sihat dan tidak mempunyai masalah kesihatan.
“Park Bom tidak mempunyai sebarang masalah kesihatan. Dia hanya naik berat kerana sudah lama tidak aktif. Dia sekarang sedang mengamalkan diet.”
ARTIKEL BERKAITAN: CL 2NE1 Tunjuk Sokongan Pada Jisoo Blackpink! Ini 4 Trivia Lagu ‘Ice Cream’
Untuk pengetahuan korang, dalam beberapa bulan terakhir ini Park Bom memang tidak seaktif artis K-pop lainnya. Terakhir kali dia membuat persembahan adalah ketika semua anggota 2NE1 bergabung di atas panggung Coachella 2022 pada bulan April yang lalu. Sebelum penampilannya di Coachella 2022, Park Bom telah mengeluarkan single bertajuk “Flower” yang menampilkan Kim Min Suk dari MeloMance.
Sumber: (1)
Update terkini tentang isu semasa, dunia hiburan, kecantikan, fesyen dan gaya hidup? Ikuti telegram rasmi Remaja untuk lebih banyak info dan juga peraduan menarik.
Ini baru lah gaya hidup remaja.
REMAJA kini di
Download sekarang!
Gadis Cantik Ini Meninggal Ketika Baca Al-Quran, 2 Lagi Adik Beradiknya Meninggal Tengah Solat

Tanpa ada sebarang penyakit kecuali mengadu sakit kepala sehari sebelumnya, kematian seorang gadis cantik, Aisyah Bahar tiga hari lalu (4/1/2018) ketika sedang membaca al-Quran selesai solat Subuh membuatkan kisahnya menjadi viral di Indonesia.
Gadis manis berusia 22 tahun berasal dari Kabupaten Bone, Sulawesi Selatan, Indonesia ini menghembuskan nafas terakhirnya di pangkuan ayahnya sendiri, Andi Bahar dalam keadaan sedang bertadarus al-Quran bersama-sama.

Cara kematiannya, diyakini khusnul khatimah kerana malaikat menjemputnya sebaik selesai menunaikan solat Subuh berjemaah di masjid. Malah pada hari kematiannya, Aisyah sedang berpuasa solat sunat Khamis. Lebih menyedihkan, Aisyah meninggal dipangkuan ayahnya sendiri dan sempat menyebut “Lailahaillallah…” sebelum rebah di pangkuan ayahnya sendiri.
Pemergian penuntut dari Fakulti Penternakan di Universitas Hasanuddin Makassar ini sangat diredhai oleh ayahnya kerana meyakini pilihan Allah adalah yang terbaik buat anaknya itu. Kata ayahnya lagi, Allah lebih sayangkan anak-anaknya dan mengambil mereka begitu cepat darinya.

Mengakui anaknya tidak mempunyai sakit apa-apa namun mengadu ada sakit kepala sehari sebelum meninggal, cara kematian gadis manis ini membuatkan ramai tertanya-tanya.
Namun di sebalik cara kematian Aisyah yang sangat elok kala pemergiannya, ada sesuatu yang membuatkan masyarakat di Indonesia berasa lebih ingin tahu kerana dua lagi adik beradiknya meninggal dalam keadaan yang cukup baik.

Seorang abangnya, Andi Ibrahim meninggal pada usia 21 tahun pada tahun 2009. Dia meninggal ketika sedang solat sunat Tasbih di bulan Ramadan kira-kira 8 tahun lalu.
Kakaknya, Andi Asri juga meninggal di usia muda dalam keeadaan yang sangat menakjubkan iaitu menghembuskan nafas terakhirnya ketika sedang menyudahkan tahiyat akhirnya.
Kata bapanya, dia cukup redha ketiga-tiga anaknya pergi dalam keadaan khusnul khatimah malah memaklumkan, Aisyah sempat membacakan Surah Al Kahfi dan Surah Ar Rahman sebelum menyebut “Lailahaillallah..sebelum rebah di pangkuan ayahnya.


Disebabkan kisahnya menjadi viral, Tribunnews melaporkan gadis cantik ini sempat melaporkan tujuh perkara dilakukan iaitu;
- Meninggalkan Kota Warampone, Kabupaten Bone pada hari Rabu (3/1/2018) pada sebelah malam menuju ke Kota Makassar dan tiba hari hari Khamis Subuh (4/1/2018).
- Sebelum berangkat ke Makassar, Aisyah yang mesra disapa Icha sempat mencium kaki ibunya.
- Tiba di Makassar, Icha telah bersahur untuk berpuasa sunat Khamis.
- Selesai sahur, dia menuju ke Masjid Rodhotul Jannah, Jl Berua Raya, Kelurahan Paccekarang Kecamatan Biringkanaya, Makassar untuk menunaikan solat Subuh berjemaah.
- Selesai solat Subuh, Icha mengambil al-Quran dan mula mengaji
- Dia balik ke rumahnya dan sempat mencuci pinggan.
- Selesai mencuci pinggan, dia memulakan hafalan al-Quran di hadapan ayahnya, Bahar Jufri. Tiba di pertengahan, Icha seperti orang mahu pengsan dan sempat mengucapkan “Lailahaillah… lalu dipangku ayahnya sehingga menghembuskan nafas terakhir.
Ini baru lah gaya hidup remaja.
REMAJA kini di
Download sekarang!

